
審美歯科は、保険治療と比べ、見た目の美しさだけを追及しているように思われがちですが、お口全体、さらには身体全体の健康にもつながり高い生活の質(QOL)を維持する治療です。
より自然の歯に近い素材を使用しますので、体にかかる負担が格段に減少しますし、金属アレルギー対策としても有効です。
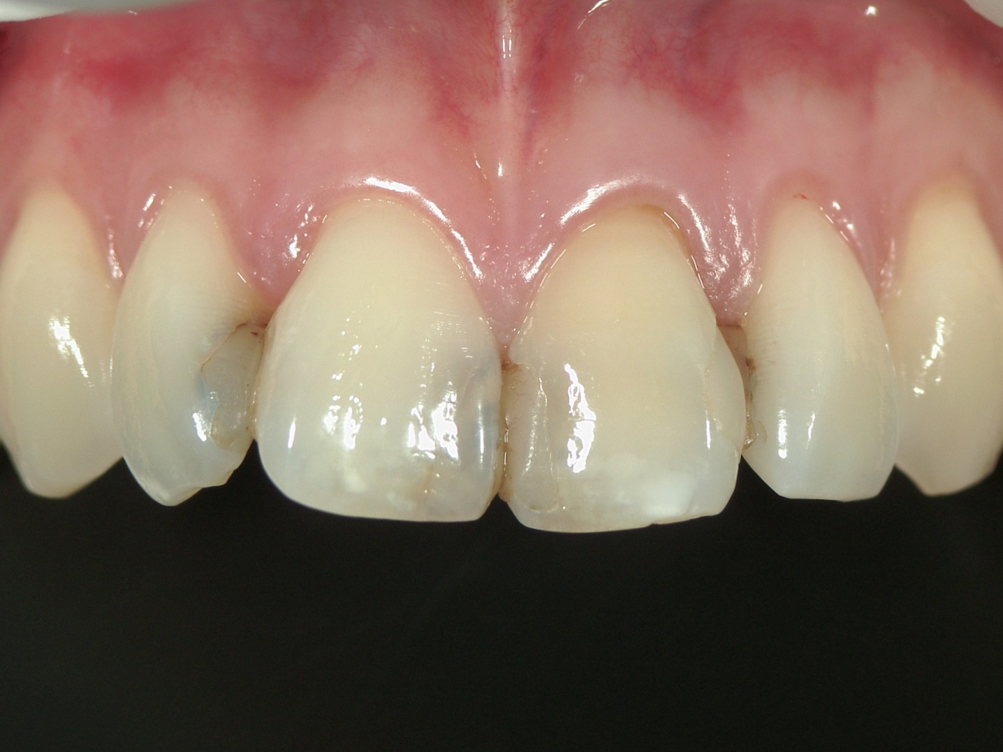
ラミネートべニアは、色が気になる歯の表面のごく一部を削って、薄く白い陶材を貼り付けて、白い歯にする方法です。
ただ、むし歯などにより残存している歯質の量が少ない場合は適用できないなどの欠点があります。
| 治療期間 | 1DAY |
|---|---|
| 金額 |
前歯 55,000円(税込)/ 1本 奥歯 38,500円(税込)〜 55,000円(税込)/ 1本 |
「歯の黄ばみが気になり、笑顔に自信がない」「着色汚れがなかなか取れなくなってきた」とお困りの方にはホワイトニングがおすすめです。
ホワイトニングは、薬剤を使って歯の色を白くしていく方法です。しかも、歯を削らずに患者さんの望む理想の白く美しい歯を目指せます!
当院ではホームホワイトニングのみを行っています。
患者様のお口の形に合わせてマウスピースを作製し、就寝時、そこに薬剤を充填しお口に装着します。マウスピース装着期間は約2~4週間です。
短時間で施術が済むオフィスホワイトニングよりも、手間はかかりますが、その分、より自然で白い歯を手に入れる効果が期待できます。主な薬剤の成分は、過酸化尿素なので健康面も心配ありません。
1~5の流れを一日一回。三週間ほどおこないます。ホワイトニングジェルは1週間に1本の使用量が目安です。
ホームホワイトニングを行う際は、メリット、注意点を十分に理解した上で行ってください。
施術した歯について不具合が起きた際には、保証システムのご用意があります。
詳しくは当院までお気軽にお問い合わせください。
歯の矯正は、見た目を良くするだけではありません。
噛み合わせを改善することで、ブラッシングの際の磨き残しがなくなり、むし歯や歯周病の予防にも効果的です。
また、矯正治療によって患者様の大切な歯を「削らない」「抜かない」をより実現しやすくなります。
欧米ほどではありませんが、日本でも矯正治療のメリットが少しずつ浸透してきており、矯正を受ける患者様も増えています。
当院は、小児矯正を含め、矯正の専門医による治療を行っております。矯正に関する相談も行っておりますので、ぜひお問合せください。
「治療はどのように進むのか」「費用はどれぐらいかかるのか」など噛み合わせについてお悩みがございましたら是非ご相談ください。
当院では毎月矯正相談日を設けており、小さいお子様から大人の方まで矯正に関する疑問を持つお客様にお気軽にご利用いただいております。事前に予約していただいたうえでお越しください。
歯が重なっていると歯ブラシが届きにくくなり、プラークや汚れがたまりやすくなります。その結果、虫歯や歯周病を引き起こす原因に。
噛み合わせが悪いと、あごの関節に負担がかかります。これにより、口を開けるときの痛みや音、頭痛や肩こりの原因になることも。
歯並びが悪いと、舌の動きや空気の通り方に影響し、「さしすせそ」などの発音がしにくくなるケースがあります。
しっかり噛めないことで、食べ物が十分に細かくならず、胃腸に負担がかかってしまいます。
歯並びが整っていないと、顔のバランスが崩れたり、笑顔に自信が持てなくなることも。精神的ストレスにもつながります。
叢生
(そうせい)
でこぼこに生えた乱ぐい歯、犬歯が飛び出した八重歯のことを言います。顎に対して歯が大きい、または顎が小さすぎて歯がおさまらないことが原因です。
上顎前突
(じょうがくぜんとつ)
上の歯が出っ張っているいわゆる出っ歯です。
反対咬合
(はんたいこうごう)
一般的には受け口と言われ、上下の咬み合わせが逆になっている状態です。
開咬
(かいこう)
奥歯で咬んでも前歯は咬んでおらず、上手く咬めない、また口が閉じにくい状態です。
空隙歯列
(くうげきしれつ)
歯と歯の間の隙間が大きいすきっ歯。
過蓋咬合
(かがいこうごう)
上の前歯が下の前歯を覆ってしまうくらい深くまで噛み合ってしまっている噛み合わせです。
おくちポカン、口呼吸や低位舌、指しゃぶりや、飲みこむ時に舌を前に出すなど、お口周りの癖や、頬杖、うつ伏せ寝などの態癖は歯列不正の原因となります。
姿勢の悪いまま日常生活を過ごしていると、身体は歪み、様々な不調が生じてきます。脚の歪みは腰の歪みに、そして顎の歪みへとすべてが繋がってしまうのです。歪みは歯列不正の原因となり、噛む力が衰退し、口呼吸気味になります。現在、口呼吸はアレルギー疾患、集中力や免疫力の低下に関係することが明らかになってきました。
そうならないために、姿勢と咬合の関係を把握し、噛み合わせを矯正していくのが「姿勢咬合」です。特に赤ちゃんをお持ちのご両親は、抱き方、寝かせ方、授乳の仕方を正しいものにすることで、お子様の健全な成長を促すことが出来ます。
詳しくは、小児歯科ページをご覧ください。
当院では、お子さまの年齢や症状に合わせたマウスピース矯正をご案内しております。
取り外しの出来るマウスピース式矯正装置を使用しますのでお子さまへの負担が少なく、また歯並びや咬み合わせの改善だけでなく、お子さまの口腔習癖の改善も期待できます。
悪い歯並びや顎の発育不全の根本的原因に働きかけることを目的とした早期予防矯正治療です。
歯列不正の原因となるお子さまの口腔習癖を改善し、成長とともに歯と顎の位置を正していきます。
永久歯に生え変わる前の、骨の柔らかい時期に大きな効果を期待できるマウスピース式矯正です。
歯並びや咬み合わせの改善とともに、プレオルソを使って行う機能的トレーニング法によって口呼吸から鼻呼吸への改善を促します。
口呼吸やお口ポカンが続くことによるトラブル(歯並びが悪くなる、風邪をひきやすくなる、虫歯になりやすくなる、口臭や鼻がつまる原因になる)を防ぎ、お子さまの健全な成長と発育を促します。
矯正治療を踏みとどまる理由の一つに「ワイヤーが目立つこと」をあげる方も多いでしょう。
マウスピース型矯正では、透明で薄い素材のマウスピースを装着して治療します。
つけていることが周りに気づかれにくく、メイクも普段通りにできるため、矯正治療のストレスを軽減できます。
マウスピースは食事中や歯磨きの時は取り外して使用するため、とても衛生的。
特にワイヤー矯正だと細かいところに歯ブラシを届かせるのが難しいですが、普段と変わらないお手入れができます。
歯に必要以上の強い力がかからないため、痛みが少ない矯正治療方法です。中にはほとんど痛みを感じない方もいらっしゃいます。
ワイヤー矯正の場合、ワイヤーを固定する装置が外れてしまったり、ぶつかって口内を傷つけてしまうことがありますが、マウスピース装置は弾力性がある素材のため、トラブルの心配がありません。
金属を全く使用しないため、アレルギーがある方も安心して矯正治療を行うことができます。
歯並びは患者様それぞれで違います。幅広い症例に対応できるため、でこぼこの歯並び、開咬(上下の前歯が噛んでいなくて隙間のある歯並び)、すきっ歯、出っ歯、また前歯だけなどの歯列矯正も可能です。
インビザラインの作成には、3Dスキャニング機器である「iTero」を使用しています。
「光学印象」というデジタルスキャンシステムを用いた印象を行い、お口の中を素早く正確に撮影し、歯型のデータを取得しています。
このiTeroであれば、従来のように、長時間お口を開けたまま型採りをする必要がなく、患者さまの負担軽減にも役立っています。
そして、撮影したデータをもとに治療結果をシミュレーションしますので、目指す歯並びを確認しながら治療を行うことができます。
SureSmile は最新のデジタル技術を活用した矯正システムで、個々の歯の動きを精密に計画・制御できる点が特徴です。 最初に 3D スキャンでお口の状態を立体的に解析し、そのデータをもとに一人ひとりに合わせた治療設計を行います。 これにより、歯の移動を細かく管理し、効率的な治療進行が可能になります。また、治療計画は細部まで緻密に設計されているため、症例によっては治療期間を短縮できる可能性があり、通院回数を減らしたスムーズな進行が期待できます。
透明なマウスピース矯正を装着し、順番に交換していくことで歯並びを治していく治療方法です。
すきっ歯や出っ歯など、前歯のみの簡単な矯正なら「iGO」をお勧めしています。
同じく、透明なマンスピースのため目立たず、取り外しが可能、痛みが少ない矯正装置です。
人から見えやすい部分、前歯の矯正や1、2本の歯並びを治したい、一部の噛み合わせを変えたい、という要望に特化した取り外し可能なマウスピース矯正です。
前歯の並びがデコボコ(軽度)している、歯と歯の間に隙間がある、以前矯正したが最近歯が少し動いてきた等の患者さんに最適といえます。部分的な矯正となりますので、長く通院することはありませんが、適応する症例は限られます。
|
|
|
|
|
|
|
| 種類 |
マウスピース型矯正「インビザライン」 |
マウスピース型矯正「iGO」 |
一般的な矯正「ワイヤー矯正」 |
マウスピース型矯正「SureSmile(シュアスマイル)」 |
マウスピース型矯正「Smylish(スマイリッシュ)」 |
| 特徴 | 全体の歯列矯正に対して有効、 治療終了までの期間がわかります |
奥歯を除いた前歯・小臼歯部分 のみの簡単な矯正で、 短期間での治療が目指せます |
ワイヤーを用いた 従来の矯正方法です |
高精度の3Dデジタル設計に基づき、 歯の動きを細かくコントロールできる矯正方法です。 効率的に計画された治療で、 スムーズな進行が期待できます。 |
前歯の軽度な歯並び改善に特化した、 短期間で始めやすいマウスピース矯正です。 |
| 見た目 | 透明なマウスピースを使用するため、 目立ちにくい |
透明なマウスピースを使用するため、 目立ちにくい |
歯の表面に金属のワイヤーを 装着するため、目立ちやすい |
透明なマウスピースを使用するため、 目立ちにくい |
透明なマウスピースを使用するため、 目立ちにくい |
| 取り外し | 可能 | 可能 | 不可能 | 可能 | 可能 |
| 痛み | 比較的痛みが少ない | 比較的痛みが少ない | 装着時に不快感を生じることがあり、 慣れるまで時間がかかることがあります |
精密設計により、 負担の少ない治療が期待できます |
比較的痛みが少なく、 日常生活の負担が少ない傾向があります |
| 金属アレルギー | 金属を全く使用していないため、 心配はありません |
金属を全く使用していないため、 心配はありません |
アレルギー症状が出る恐れがあります | 金属を全く使用していないため、 心配はありません |
金属不使用のため、 アレルギーの心配はありません |
| 歯磨きなどのケア | 取り外しができるため、 歯のケアは普段通りおこなえます |
取り外しができるため、 歯のケアは普段通りおこなえます |
取り外しができないため、 歯ブラシが届きづらい |
取り外しができるため、 普段通りのお手入れができます |
取り外しができるため、 普段通りのお手入れができます |
矯正治療と言えば、金具や針金などを利用したブラケットをつけることと思われがちですが、それだけではありません。舌のスポットを正しい位置に置き、顎の筋肉を鍛え、鼻呼吸を意識することで歯列を矯正する方法もあります。筋肉を鍛えて歯列を改善していく方法なので、日常生活に負担がなくトレーニングをしていくことが可能です。
また、症例によってはこの動きを補助するトレーナーを装着して矯正の補助を行う方法もあります。
| あいうべ体操 |
|---|
|
正しく口輪筋を鍛えることで、鼻呼吸へと改善していくために開発されたトレーニングが「あいうべ体操」です。 だらんと口を開けた状態の口呼吸。鼻呼吸が出来ないことによって、口腔内に雑菌が広がり、風邪をひきやすくなります。それだけではなく、アレルギー症状(喘息や皮膚疾患)や集中力の欠如など様々な悪影響が指摘されています。 是非あいうべ体操を覚えて日々の習慣にしていきましょう。 |
大きな声を出しながら、目を大きく開けて必ず良い姿勢でゆっくり行いましょう。以上を一日五回三セット行いましょう。
| オープン&クローズ体操 |
|---|
| 舌は、何もしてないときでも、前歯の裏に舌先が触れている状態が理想的です。これを「スポット」と言います。スポットを習慣化させるために開発された方法が「オープン&クローズ体操」です。 |
舌先をスポットに置きながらお口の開け閉めを繰り返します。このとき、なるべく大きく口を開けるようにしましょう。
| 舌体操 |
|---|
|
他にも、舌の正しい位置を身につけるトレーニングには「舌体操」があります。唾液を分泌する効果もあり、口腔内の健康維持に役立ちます。 お子さんだけではなく親御さんにもオススメです。親子で一緒に行うのもいいかもしれません。 |
舌でほっぺの内側を押しながら、片道三秒以上かけてもう一つのほっぺに舌を移動。左右に動かしていきます。上から往復三回。下から往復三回行います。(一番奥の歯の内側→後ろ→ほっぺ側までグルッと一周、歯に沿ってしっかりなめましょう)
歯並びが悪くなる原因を早期に取り除いてあげる機能矯正は、早ければ3歳頃から始めているお子さんもいます。小児矯正もなるべく早期に始めた方が良いお子さんもいますので、定期検診ごとにチェックし、気になる事がありましたらいつでもご相談ください。
6才になるのを待たなくても始められる矯正歯科治療もあります。上記で紹介している「筋肉トレーニングMFT」などがそれにあたります。また、乳歯を健康に保つこと、健全なあごの成長をサポートすることも矯正歯科治療の一端です。小さなころから治療を始めれば、それだけ身体への負担が少なくなります。
大丈夫です。歯と歯周組織がしっかりしていれば問題ありません。当院では成人の方がたくさん治療をされております。
治療開始時、装置付け始めの頃に痛みが出る場合もありますが、すぐに慣れます。 また、当院では患者様の痛みに対する負担を出来るだけ少なくするように治療しております。痛みを感じる患者様には、装置を変更・調整して対応しております。痛くて矯正治療が続けられないという患者様はいらっしゃいません。
咬み合わせが悪い状態(不正咬合)とは病気ではなく、「不健康」な状態にあることを意味します。「80才になっても20本の歯を残して生涯を通じて自分の歯で食事をとっていただき、よりよい人生を送っていただく(8020運動)」この目標達成のためには咬み合わせが健康な状態つまり正しい咬み合わせであることが必要です。
むし歯、歯周病、顎関節症や顎機能異常などを起こしやすくなります。さらに、消化器官の働きにも影響を受けるので胃から後の消化器官に余分な負担をかけることとなります。 場合によっては、あごの正常な成長発育を障害したり、あごの形を歪めてしまうこともあります。 あるいは、「サ行」や「タ行」などの発音が不明瞭になることもあります。
不正歯列の2割は遺伝子8割は生活習慣と言われています。おくちポカンや口呼吸、指しゃぶりや片咬みなどの悪習癖をなるべく早めに改善し、ただしいお口周りの成長を育成してあげる事が大切です。